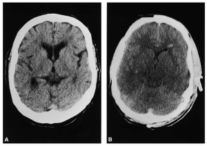
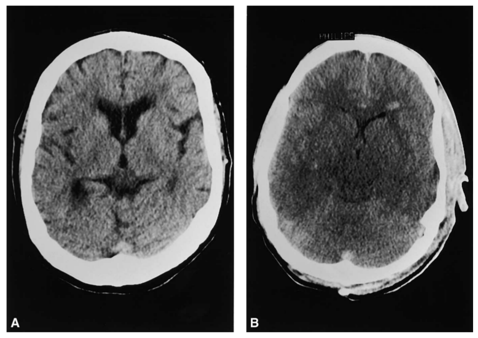
TC de cráneo del mismo paciente eunatrémico (A) y tras desarrollar hiponatremia aguda (B). Se aprecia la desaparición de los surcos y ventrículos, así como la hipodensidad del parénquima, compatible con edema cerebral.
Gross P. Nephlorogy Forum: Treatment of severe hyponatremia. Kidney Int. 2011;60:2417-27. Reproducido únicamente con fines educativos.

