Los síntomas y signos secundarios a la hiponatremia se deben a las alteraciones cerebrales producto del medio hipoosmolar, y se agrupan dentro de la denominada encefalopatía hiponatrémica. Son muy inespecíficos y heterogéneos, y dependen tanto de la velocidad de instauración como de la gravedad de la alteración hidroelectrolítica, así como de la susceptibilidad individual.

Encefalopatía hiponatrémica moderada-grave
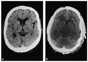
La hiponatremia grave (<125 mmol/L) o de instauración aguda suele acompañarse de clínica derivada del edema cerebral. Cuando la hipoosmolaridad se instaura de forma aguda superando los mecanismos de adaptación, el incremento del tamaño celular inducirá un edema cerebral comprimiendo pequeños vasos y causando isquemia e infartos (Figura 2). Puede comenzar como un cuadro confusional con náuseas y vómitos, desorientación y somnolencia, evolucionando hacia el estupor y el coma con convulsiones y distrés respiratorio. En el peor de los casos se puede llegar a la herniación cerebral con compresión del tronco del encéfalo y la muerte.
La coexistencia de hipoxemia y/o procesos expansivos intracraneales aumenta la gravedad del cuadro. Los niños, las mujeres en edad fértil y las personas con procesos cerebrales expansivos (tumores, hemorragias…) tienen mayor riesgo de padecer clínica grave, mientras que los ancianos y personas con atrofia cerebral tendrán mejor tolerancia(1).

En un estudio con casi 300 pacientes geriátricos con hiponatremia grave los síntomas y signos más frecuentemente reportados fueron(2):
- Debilidad generalizada 69%
- Astenia 59%
- Náuseas 44%
- Caídas 36%
- Alteraciones de la marcha 31%
- Vómitos 30%
Encefalopatía hiponatrémica leve
En casos leves-moderados (≥125 mmol/l) o de instauración lenta la clínica puede ser muy sutil y difícil de distinguir de otros procesos subyacentes, por lo que es frecuente que estos pacientes sean etiquetados como «asintomáticos». El mecanismo de adaptación al estado hipoosmolar crónico conlleva la pérdida de osmolitos orgánicos por parte de las células cerebrales, principalmente neurotransmisores. Una anamnesis y una exploración detalladas pueden revelar la presencia de cefalea persistente, bradipsiquia, alteraciones de la memoria, déficits cognitivos y trastornos de la marcha.
Diversos estudios han demostrado que pacientes ancianos con hiponatremia crónica considerada «asintomática» obtienen puntuaciones significativamente peores en las pruebas de evaluación geriátrica comparados con pacientes eunatrémicos(3), y que su corrección mejora los trastornos de la marcha(4). Un metaanálisis de 12 estudios ha revelado también la fuerte relación de la hiponatremia crónica con el riesgo de fracturas por el aumento en la frecuencia de caídas y el desarrollo de osteoporosis(5).
Bibliografía
- Runkle I, Gomez-Hoyos E, Cuesta-Hernández M, Chafer-Vilaplana J, de Miguel P. Hyponatraemia in older patients: a clinical and practical approach. Rev Clin Gerontol. 2015 Feb;25(1):31-52 (Cambridge Core ⇑).
- Gosch M, Joosten-Gstrein B, Heppner HJ, Lechleitner M. Hyponatremia in geriatric inhospital patients: effects on results of a comprehensive geriatric assessment. Gerontology. 2012;58(5):430-40 (PubMed ⇑).
- Nigro N, Winzeler B, Suter-Widmer I, Schuetz P, Arici B, Bally M, et al. Symptoms and characteristics of individuals with profound hyponatremia: a prospective multicenter observational study. J Am Geriatr Soc. 2015 Mar;63(3):470-5 (PubMed ⇑).
- Renneboog B, Musch W, Vandemergel X, Manto MU, Decaux G. Mild chronic hyponatremia is associated with falls, unsteadiness, and attention deficits. Am J Med. 2006 Jan;119(1):71.e1-8 (PubMed ⇑).
- Upala S, Sanguankeo A. Association Between Hyponatremia, Osteoporosis, and Fracture: A Systematic Review and Meta-analysis. J Clin Endocrinol Metab. 2016 Apr;101(4):1880-6 (PubMed ⇑).
Última actualización: 20 de Agosto de 2018
Autor: G. Ropero
